Nhiều năm e ngại nha khoa vì những trải nghiệm không tốt, cộng thêm nỗi lo về bệnh nền huyết áp cao, chú Vũ Hoàng Liên đã chần chừ điều trị cho đến khi gần như mất toàn bộ răng hai hàm. Tại iMed, hành trình ấy đã khép lại bằng một hàm răng chắc khỏe, nụ cười tự nhiên và nâng cao chất lượng cuộc sống
Nỗi Lo Tích Tụ Theo Năm Tháng
Chú Liên nhận ra tình trạng răng của mình càng ngày càng kém, nhưng những ký ức về công nghệ cũ gây đau nhức, những lần thăm khám không trọn vẹn trước đây đã khiến chú mất đi sự tin tưởng vào nha khoa. Năm này qua năm khác, chú chọn cách sống chung với bất tiện thay vì đối mặt với nỗi lo.

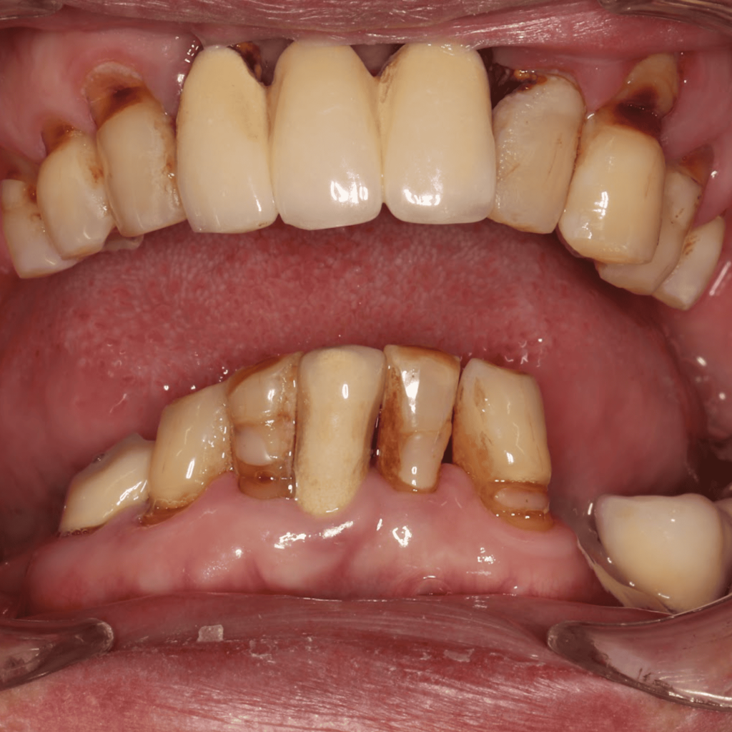
Hàm răng hư hỏng nặng, tiêu xương kéo dài – khởi đầu của hành trình thay đổi
Hệ quả là tình trạng răng miệng ngày càng nghiêm trọng: mất hoàn toàn răng hàm dưới, hàm trên nhiều răng hư hỏng nặng không còn khả năng bảo tồn. Tình trạng kéo dài dẫn đến tiêu xương hàm, mất khả năng ăn nhai bình thường, ảnh hưởng nặng nề đến sức khỏe tổng thể và chất lượng cuộc sống hằng ngày.
Thêm vào đó, bệnh nền huyết áp cao khiến chú càng thêm e ngại, sau khi thăm khám và nhiều bên không tiếp nhận điều trị, chú được giới thiệu đến iMed và được TS.BS Nguyễn Khánh Long thăm khám, lên kế hoạch điều trị
Khi Chuyên Môn Vững Vàng Thay Thế Nỗi Sợ
Khi biết đến Nha khoa iMed, điều đầu tiên chú Liên cảm nhận được không phải là phòng khám hay thiết bị mà là sự tận tâm trong từng buổi thăm khám và tư vấn. Bác sĩ Long cùng đội ngũ không chỉ giải thích cặn kẽ tình trạng răng miệng mà còn dành thời gian đánh giá sức khỏe tổng thể, trong đó đặc biệt chú trọng đến việc ổn định huyết áp trước và trong suốt quá trình điều trị.
Với những trường hợp có bệnh nền như huyết áp cao, iMed xây dựng phác đồ điều trị cá nhân hóa, theo dõi sát chỉ số sức khỏe và điều chỉnh linh hoạt ở từng giai đoạn để mỗi bước can thiệp đều diễn ra trong trạng thái an toàn và được kiểm soát chủ động.
Chính sự chu đáo và chuyên môn vững vàng ấy đã giúp chú Liên an tâm đặt trọn niềm tin, quyết định thực hiện cấy ghép Implant toàn hàm cả hai hàm tại iMed.
Công Nghệ Hiện Đại Tạo Nên Trải Nghiệm Hoàn Toàn Khác Biệt
Điều khiến chú Liên bất ngờ nhất không phải là kết quả cuối cùng – mà là cả hành trình điều trị diễn ra nhẹ nhàng, thoải mái hơn rất nhiều so với những gì chú từng hình dung.
Với việc ứng dụng công nghệ nha khoa hiện đại vào lập kế hoạch và thực hiện phẫu thuật, quá trình can thiệp được tối ưu hóa để giảm thiểu xâm lấn, rút ngắn thời gian điều trị và mang lại cảm giác dễ chịu nhất có thể cho bệnh nhân. Bên cạnh việc phục hồi chức năng ăn nhai, đội ngũ bác sĩ còn dành sự quan tâm đặc biệt đến tính thẩm mỹ từng chiếc răng được thiết kế cân đối, hài hòa với khuôn mặt, cho ra nụ cười tự nhiên như răng thật.

“Chú không nghĩ bây giờ công nghệ hiện đại như thế, thật sự rất bất ngờ. Các bác sĩ tận tâm, không chỉ quan tâm đến sức khỏe răng miệng mà còn chú trọng đến thẩm mỹ, giúp nụ cười tự nhiên hơn.” – Chú Vũ Hoàng Liên cùng Bác sĩ phục hình Implant Đoàn Đức Tiến trong buổi hoàn thiện cuối cùng
Kết Quả: Hơn Cả Một Hàm Răng Khoẻ Mạnh
Sau điều trị cấy ghép Implant toàn hàm, cuộc sống của chú Liên thay đổi rõ rệt trên nhiều phương diện:
Khôi phục ăn nhai hoàn toàn: Hàm răng cố định chắc chắn trên nền Implant tích hợp xương, chú có thể ăn nhai thoải mái, đa dạng món ăn mà không còn lo đau nhức hay bất tiện.
Nụ cười tự nhiên trở lại: Răng phục hình đạt thẩm mỹ cao, hài hòa với khuôn mặt, giúp chú tự tin hơn trong giao tiếp và sinh hoạt hằng ngày.
Xương hàm được bảo tồn: Trụ Implant titan tích hợp với xương hàm, ngăn chặn quá trình tiêu xương tiếp diễn, bảo vệ cấu trúc khuôn mặt lâu dài.
Vượt qua nỗi sợ nha khoa: Quan trọng hơn tất cả, chú Liên đã thoát khỏi nỗi ám ảnh đã kìm hãm chú suốt nhiều năm — để nhận ra rằng nha khoa hiện đại hoàn toàn có thể là một trải nghiệm an tâm và tích cực.

Kết quả: Trước & Sau: Phục hình Implant toàn hàm của chú Liên giúp khôi phục khả năng ăn nhai và nụ cười tự nhiên
Đọc thêm
- 4 thói quen xấu gây ảnh hưởng tới sức khoẻ răng miệng của con
- Nhổ răng siêu âm Piezotome: Giải pháp an toàn, hạn chế xâm lấn trong nha khoa hiện đại
- Implant Toàn Hàm Hay Hàm Tháo Lắp Tốt Hơn? So Sánh Toàn Diện Để Đưa Ra Lựa Chọn Đúng
- 7 dấu hiệu răng miệng nguy hiểm ở trẻ em bố mẹ thường bỏ qua
- Chúc mừng Ngày Thầy thuốc Việt Nam 27/2 – Tri ân những trái tim nhân ái tại Nha khoa iMed
Câu chuyện của chú Vũ Hoàng Liên là minh chứng rõ nét rằng bệnh nền huyết áp cao không phải là rào cản cho việc cấy ghép Implant khi có kế hoạch điều trị cá nhân hóa, quy trình kiểm soát sức khỏe bài bản và đội ngũ bác sĩ tận tâm, việc phục hồi răng miệng hoàn toàn có thể diễn ra an toàn và hiệu quả.
Nếu bạn hoặc người thân đang trong tình trạng mất răng nhiều, kèm theo lo ngại về bệnh nền, đừng để nỗi sợ kéo dài thêm vì mỗi ngày trì hoãn là thêm một ngày xương hàm tiếp tục tiêu đi. Hãy để đội ngũ bác sĩ tại iMed đánh giá trực tiếp tình trạng của bạn, từ đó tư vấn phác đồ phù hợp và an toàn nhất.
Đặt lịch thăm khám miễn phí tại iMed để bắt đầu hành trình tìm lại nụ cười đúng cách, đúng thời điểm.
