Khi mất toàn bộ răng, câu hỏi “implant toàn hàm hay hàm tháo lắp tốt hơn?” là điều hầu hết bệnh nhân đều băn khoăn. Cả hai giải pháp đều có ưu và nhược điểm riêng và lựa chọn nào phù hợp phụ thuộc vào sức khỏe xương hàm, lối sống và kỳ vọng dài hạn của bạn.
Implant Toàn Hàm Hay Hàm Tháo Lắp Tốt Hơn? Bảng So Sánh Chi Tiết

Bảng so sánh tiêu chí chi tiết về Implant toàn hàm và hàm tháo lắp
Implant Toàn Hàm Hay Hàm Tháo Lắp: Phương Pháp Nào Xứng Đáng Hơn?
Thoạt nhìn, implant đắt hơn nhiều. Nhưng nếu tính toán chi phí hàng năm trong 10 năm:
- Hàm tháo lắp: Chi phí ban đầu thấp hơn, nhưng cần thay định kỳ sau vài năm sử dụng, cộng thêm chi phí bảo trì liên tục
- Implant toàn hàm: Đầu tư ban đầu cao hơn, nhưng sau khi tích hợp xong gần như không phát sinh thêm được bảo hành 10-15 năm, vệ sinh tương tự răng thật
- Điểm mấu chốt: Sau năm thứ 6, implant bắt đầu vượt trội hơn. Sau 15-20 năm, implant có thể là lựa chọn kinh tế hơn
Implant Toàn Hàm Hay Hàm Tháo Lắp Tốt Hơn Về Chất Lượng Cuộc Sống?
Sức Khỏe Xương Hàm
Khi so sánh implant toàn hàm hay hàm tháo lắp tốt hơn về xương hàm, implant chiếm ưu thế rõ ràng. Implant truyền lực nhai trực tiếp vào xương, giúp bảo tồn mật độ xương tối đa. Hàm tháo lắp không có cơ chế này, dẫn tới xương hàm dần suy giảm theo thời gian, kéo theo thay đổi khuôn mặt và trông già hơn tuổi thật.
Nhai & Ăn Thoải Mái
Implant toàn hàm hoạt động tương tự răng thật bạn có thể ăn các đồ ăn như gân, nem, trái cây cứng mà không lo lắng. Hàm tháo lắp chỉ đạt một phần sức nhai của răng thật, buộc người dùng phải hạn chế nhiều loại thực phẩm yêu thích.
Phát Âm & Khi Nuốt
Một ưu điểm lớn khi chọn implant toàn hàm thay vì hàm tháo lắp là phát âm hoàn toàn tự nhiên. Hàm tháo lắp có thể rơi ra hoặc gây phát âm không rõ, đặc biệt trong cuộc trò chuyện quan trọng, điều này implant không bao giờ gặp phải.
Thẩm Mỹ & Tự Tin
Sự tự tin là yếu tố nhiều bệnh nhân coi trọng nhất khi chọn giữa implant toàn hàm hay hàm tháo lắp. Implant cố định hoàn toàn giúp bạn cười, nói chuyện, ăn uống mà không bao giờ lo hàm bị lỏng hay rơi ra.
Khi Nào Hàm Tháo Lắp Là Lựa Chọn Phù Hợp Hơn Implant Toàn Hàm?
- Tài chính hiện tại chưa đủ cho implant toàn hàm: Hàm tháo lắp giúp phục hồi chức năng nhai trong thời gian chờ tích lũy thêm
- Không muốn trải qua phẫu thuật: Hàm tháo lắp không yêu cầu can thiệp phẫu thuật, phù hợp với người có tâm lý e ngại
- Tiền sử bệnh lý phức tạp: Một số bệnh nền có thể ảnh hưởng đến tỷ lệ thành công của implant toàn hàm, tuy nhiên bác sĩ sẽ tư vấn phương án tối ưu cho từng trường hợp
Khi Nào Implant Toàn Hàm Rõ Ràng Tốt Hơn Hàm Tháo Lắp?
- Bạn còn trẻ và sức khỏe tốt: Implant toàn hàm có thể đồng hành cùng bạn suốt nhiều thập kỷ, đây là khoản đầu tư một lần dài hạn
- Bạn coi trọng chất lượng sống hàng ngày: Implant toàn hàm giúp bạn ăn uống, giao tiếp và sinh hoạt hoàn toàn tự nhiên, không có giới hạn như hàm tháo lắp
- Bạn muốn giải pháp lâu dài: Nếu câu trả lời cho “implant toàn hàm hay hàm tháo lắp tốt hơn” của bạn là “không muốn lo lắng thêm”, implant là lựa chọn dứt khoát
Những Quan Niệm Sai Khi So Sánh Implant Toàn Hàm Hay Hàm Tháo Lắp
Quan niệm sai 1: “Hàm tháo lắp chi phí thấp và có thể dùng lâu dài”
Sự thật: Chi phí ban đầu thấp, nhưng chi phí bảo trì, thay thế. Ngoài ra, giảm chất lượng sống do giới hạn nhai, mất tự tin, dẫn tới các bệnh liên quan như dạ dày, tiêu hoá,….
Quan niệm sai 2: “Implant toàn hàm chỉ dành cho người có điều kiện kinh tế cao”
Sự thật: Chi phí ban đầu cao, nhưng tính theo hàng năm theo nhu cầu sử dụng và kết quả đạt được thì hoàn toàn xứng đáng
Trải Nghiệm Thực Tế: Implant Toàn Hàm Hay Hàm Tháo Lắp Tốt Hơn?
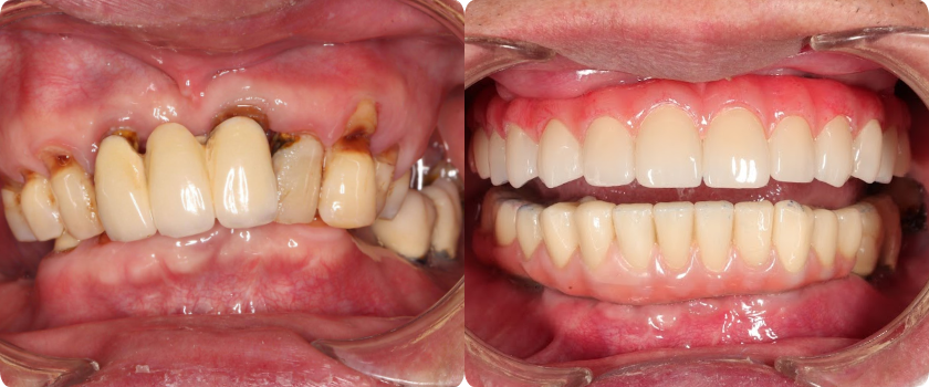
Chuyện 1: BN M.T.H 70 tuổi, bệnh nhân mất hoàn toàn răng hàm dưới, hàm trên nhiều răng hư hỏng nặng. Đeo hàm tháo lắp lâu năm kéo dài dẫn đến tiêu xương hàm, mất khả năng ăn nhai bình thường. Sau điều trị cấy ghép Implant toàn hàm, chức năng ăn nhai được khôi phục, bệnh nhân tự tin giao tiếp và cải thiện rõ rệt chất lượng cuộc sống.

Kết quả cấy ghép là phục hình implant toàn hàm 2 hàm trên và dưới
Chuyện 2: BN. P.Q.H, 50 tuổi, bệnh nhân có răng hàm trên lung lay hàng loạt, không còn khả năng bảo tồn, buộc phải chỉ định nhổ toàn bộ và cấy ghép Implant toàn hàm trên. Sau điều trị, hàm trên được phục hồi hoàn toàn với hàm răng cố định chắc chắn, thẩm mỹ tự nhiên, bệnh nhân khôi phục khả năng ăn nhai và tự tin với nụ cười mới.

Đọc thêm
- 4 thói quen xấu gây ảnh hưởng tới sức khoẻ răng miệng của con
- Nhổ răng siêu âm Piezotome: Giải pháp an toàn, hạn chế xâm lấn trong nha khoa hiện đại
- Hội thảo “Quy trình kĩ thuật số trong cấy ghép Implant” – Nha khoa iMed chia sẻ kiến thức tiên tiến
- 5 lưu ý quan trọng trước khi niềng răng trong suốt Invisalign
- Khớp cắn ngược ở trẻ: dấu hiệu, nguyên nhân và cách điều trị hiệu quả
Bệnh nhân thay đổi nụ cười và cả sự tự tin sau khi cấy ghép implant toàn hàm trên
Câu Hỏi Thường Gặp: Implant Toàn Hàm Hay Hàm Tháo Lắp Tốt Hơn?
Câu 1: Implant toàn hàm có ăn được các món cứng hay không?
Trả lời: Có. Đây là một trong những ưu điểm lớn nhất khi chọn implant toàn hàm thay vì hàm tháo lắp. Sức nhai gần như răng thật, cho phép bệnh nhân ăn nhai thoải mái kể cả thức ăn cứng sau khi quá trình tích hợp hoàn tất.
Câu 2: Xương hàm yếu có thể chọn implant toàn hàm không?
Trả lời: Implant toàn hàm vẫn có thể thực hiện ở bệnh nhân tiêu xương hàm, tuy nhiên cần đánh giá kỹ về mật độ xương, thể tích xương và tình trạng tiêu xương hiện tại thông qua phim CT Cone Beam.
Trong trường hợp xương không đủ điều kiện, bác sĩ có thể chỉ định các phương án hỗ trợ như:
Ghép xương (bone graft) để tăng thể tích xương
Nâng xoang (đối với hàm trên)
Hoặc lựa chọn các kỹ thuật tối ưu như All-on-4 / All-on-6 với vị trí đặt implant chiến lược nhằm tận dụng vùng xương còn tốt
Câu 3: Hàm tháo lắp có bền lâu dài như implant toàn hàm không?
Trả lời: Không. Hàm tháo lắp cần thay định kỳ do hao mòn và biến đổi theo thời gian. Implant toàn hàm nếu được chăm sóc đúng cách có thể đồng hành cùng bạn rất lâu dài, đây là khác biệt cốt lõi về độ bền giữa hai giải pháp.
> Nếu bạn hoặc người thân của mình vẫn Còn Phân Vân Implant Toàn Hàm Hay Hàm Tháo Lắp Tốt Hơn? Liên Hệ Nha Khoa Imed – Tư Vấn Miễn Phí Ngay Hôm Nay!
