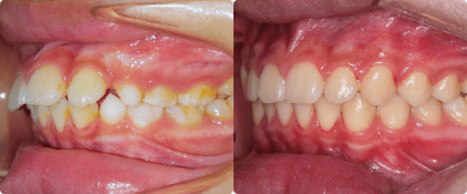
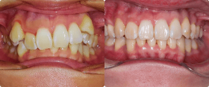
Chỉnh nha không mắc cài Invisalign là giải pháp chỉnh nha hiện đại sử dụng hệ thống khay trong suốt được thiết kế cá nhân hóa cho từng bệnh nhân. Phương pháp này giúp dịch chuyển răng nhẹ nhàng, chính xác theo kế hoạch điều trị số hóa, đồng thời đảm bảo tính thẩm mỹ cao, dễ tháo lắp và thuận tiện trong sinh hoạt hằng ngày. Invisalign phù hợp với những khách hàng mong muốn cải thiện khớp cắn và nụ cười một cách kín đáo, thoải mái và hiệu quả lâu dài.








