Chỉnh Nha Mắc Cài
Truyền Thống

Sở hữu nụ cười khoẻ đẹp
Chuẩn khớp cắn

Chỉnh Nha Mắc Cài
Truyền Thống

Niềng răng mắc cài (chỉnh nha mắc cài) là phương pháp chỉnh nha cố định sử dụng hệ thống mắc cài kết hợp dây cung chuyên dụng nhằm tạo lực ổn định và có kiểm soát, giúp răng dịch chuyển dần về vị trí lý tưởng trên cung hàm. Phương pháp này giúp điều chỉnh các sai lệch khớp cắn theo sinh lý tự nhiên, cải thiện hiệu quả các tình trạng như hô, móm, răng thưa hoặc chen chúc. Quá trình di chuyển răng đồng thời kích thích sự tái cấu trúc của xương ổ răng, góp phần cân chỉnh vị trí môi, má và hoàn thiện đường nét khuôn mặt hài hòa, thanh thoát hơn.

Ưu điểm chỉnh nha mắc cài

  • Cải thiện các tình trạng sai khớp cắn như hô, móm, khớp cắn sâu, khớp cắn hở, khớp cắn chéo và lệch khớp cắn do răng
  • Bác sĩ dễ dàng điều chỉnh lực theo từng giai đoạn, giúp răng di chuyển đúng kế hoạch điều trị.
  • Có thể áp dụng cho nhiều bệnh nhân: Trẻ em, thanh thiếu niên và người trưởng thành.
  • Là phương pháp chỉnh nha truyền thống, được ứng dụng rộng rãi và có độ tin cậy cao trong lâm sàng.
  • Là lựa chọn kinh tế, phù hợp với nhiều đối tượng khách hàng.
  • Cải thiện thẩm mỹ nụ cười và gương mặt, giúp bệnh nhân tự tin hơn khi giao tiếp.
  • Dễ vệ sinh răng miệng hơn sau điều trị, giảm nguy cơ sâu răng, viêm nướu về lâu dài.

Quy trình chỉnh nha mắc cài tại iMed

Buổi 1

Khám lâm sàng và làm hồ sơ chỉnh nha 

Bác sĩ sẽ khám và đánh giá sơ bộ tình trạng răng miệng và vấn đề của bạn. Trong buổi đầu này, bạn sẽ cần phải chụp thêm một số phim Xquang, chụp ảnh, lấy dấu, một số trường hợp có thể quay clip và scan 3D hình ảnh khuôn mặt để làm hồ sơ bệnh án.

Buổi 2

Tư vấn kế hoạch điều trị chi tiết

Sau khi phân tích, đánh giá các chỉ số về xương, răng dựa trên dữ liệu đã thu thập, bác sĩ sẽ đưa ra chẩn đoán và phương án điều trị cụ thể (bao gồm kỹ thuật thực hiện, thời gian thực hiện, chi phí dự kiến). Những người dưới 18 tuổi hoặc những người chưa tự đưa ra quyết định về kế hoạch điều trị cần có người giám hộ đi cùng trong buổi này.

Buổi 3

Chỉnh nha theo kế hoạch

Bác sĩ sẽ tiến hành gắn mắc cài/đặt chun tùy theo từng trường hợp. Sau đó cứ 2-4 tuần, bạn sẽ có lịch tái khám định kỳ cho đến khi kết thúc quá trình chỉnh nha.

Buổi 4

Làm hồ sơ kết thúc

Tương tự như khi bắt đầu, trước khi kết thúc chỉnh nha, bạn sẽ làm lại các bước chụp phim Xquang, ảnh để bác sĩ phân tích, đánh giá lại kết quả điều trị trước khi kết thúc.

Buổi 5

Kết thúc điều trị và duy trì

Trước khi tháo mắc cài, bác sĩ sẽ trao đổi với bạn về kết quả của quá trình điều trị và những điều cần lưu ý sau khi kết thúc điều trị. Sau đó, bạn sẽ được cung cấp một bộ hàm duy trì để đeo trong ít nhất 1 năm nhằm duy trì tình trạng răng hiện tại.

Những người kiến tạo nụ cười hoàn hảo

Nguyễn Khánh Long
Đoàn Đức Tiến
Đinh Thị Dung
Nguyễn Minh Thành
Bùi Thị Bích Loan
Tiến sĩ, bác sĩ

Nguyễn Khánh Long

  • Tốt nghiệp Tiến sĩ, chuyên ngành phẫu thuật miệng và hàm mặt, khoa Y, Đại học Gifu, Nhật Bản
  • Tốt nghiệp Bác sĩ chuyên khoa Răng hàm mặt chính quy, Đại học Y Hà Nội
  • Các khoá đào tạo chuyên ngành tại Hoa Kỳ, Nhật Bản, Hàn Quốc, CHLB Đức, Singapore, Đài Loan, Thái Lan, Hy Lạp, Canada
Bác sĩ

Đoàn Đức Tiến

Tốt nghiệp Bác sĩ chuyên khoa Răng hàm mặt chính quy, Đại học Y Hà Nội

Bác sĩ

Đinh Thị Dung

Tốt nghiệp Bác sĩ chuyên khoa Răng hàm mặt chính quy, Đại học Y Hà Nội

Bác sĩ

Nguyễn Minh Thành

  • Tốt nghiệp Bác sĩ chuyên khoa Răng hàm mặt chính quy, Đại học Y Hà Nội
Bác sĩ

Bùi Thị Bích Loan

  • Tốt nghiệp Bác sĩ chuyên khoa Răng hàm mặt chính quy, Đại học Y Hà Nội
Nguyễn Khánh Long
Đoàn Đức Tiến
Đinh Thị Dung
Nguyễn Minh Thành
Bùi Thị Bích Loan

03 Lý do nên lựa chọn chỉnh nha mắc cài tại iMed

01

Đội ngũ bác sĩ chỉnh nha tay nghề cao, được đào tạo chuyên sâu trong nước và quốc tế, trực tiếp thăm khám, lập kế hoạch và theo sát toàn bộ quá trình điều trị.

02

Áp dụng công nghệ chỉnh nha hiện đại, hỗ trợ chẩn đoán chính xác, kiểm soát lực kéo hiệu quả và tối ưu kết quả điều trị.

03

Phác đồ cá nhân hóa, ưu tiên kết quả bền vững lâu dài, đảm bảo khớp cắn chuẩn, ăn nhai thoải mái và thẩm mỹ hài hòa sau chỉnh nha.

Một số ca chỉnh nha mắc cài thành công tại iMed

case_noi_bat

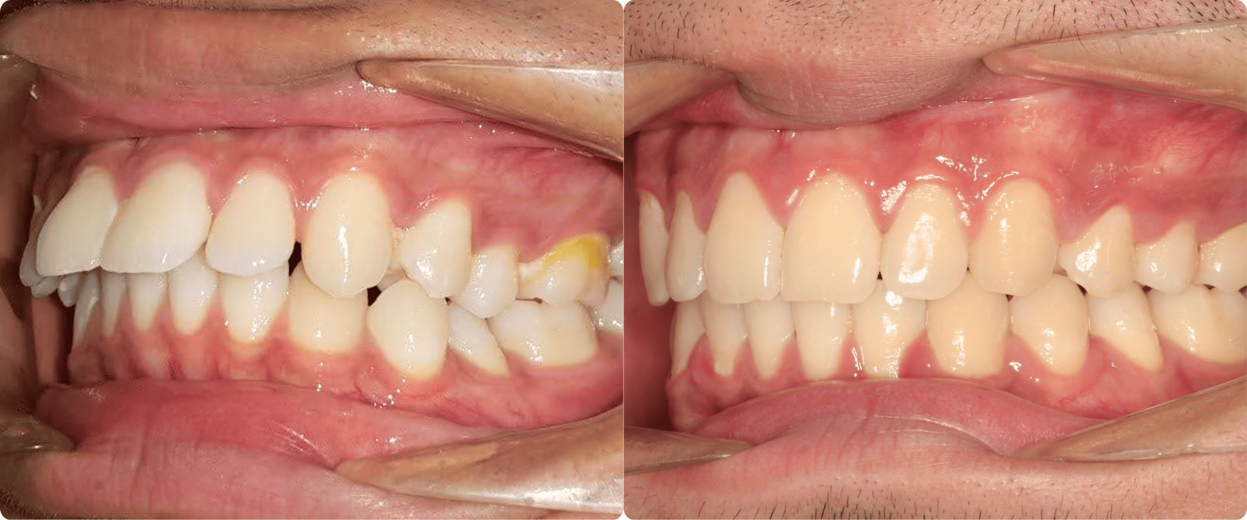
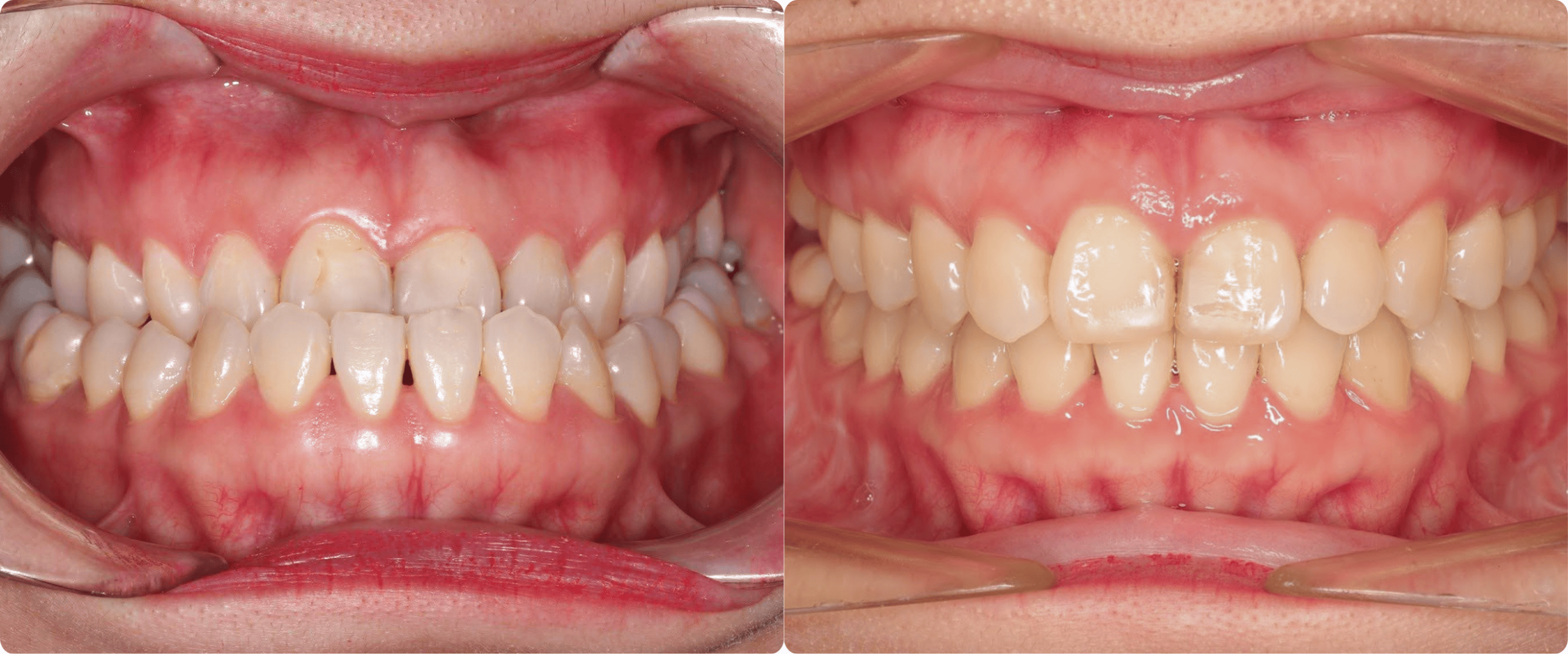
Răng chen chúc

Gây khó vệ sinh và kém thẩm mỹ; sau điều trị chỉnh nha theo phác đồ cá nhân hóa, răng được sắp xếp đều đặn, khớp cắn ổn định và nụ cười cải thiện rõ rệt.
case_noi_bat

Răng thưa

Trước điều trị răng có khe hở gây mất thẩm mỹ và dễ mắc thức ăn; sau điều trị răng được đóng khít, đều đặn và nụ cười hài hòa hơn
case_noi_bat

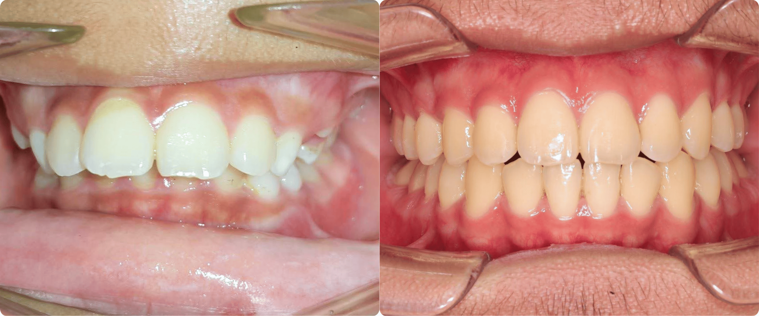
Khớp cắn hở

Trước điều trị hai hàm không chạm nhau khi cắn gây khó ăn nhai và phát âm; sau điều trị khớp cắn được đóng kín, ăn nhai ổn định và thẩm mỹ cải thiện rõ rệt.
case_noi_bat

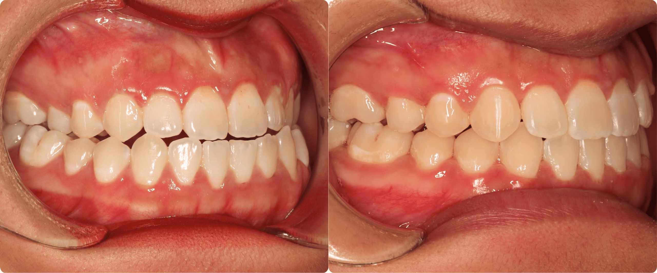
Khớp cắn ngược

Trước điều trị hàm dưới đưa ra trước gây mất cân đối khuôn mặt; sau điều trị hai hàm được đưa về tương quan chuẩn, gương mặt hài hòa hơn.
case_noi_bat

Khớp cắn đối đầu

Trước điều trị răng cửa trên và dưới chạm trực tiếp bờ cắn gây mòn răng và ê buốt; sau điều trị tương quan hai hàm được chỉnh về chuẩn, giảm lực sang chấn và cải thiện thẩm mỹ
case_noi_bat

Khớp cắn sâu

Trước điều trị răng cửa trên phủ quá nhiều răng dưới gây mòn răng và sang chấn nướu; sau điều trị độ phủ được điều chỉnh hợp lý, khớp cắn cân bằng và chức năng ăn nhai ổn định.
case_noi_bat

Khớp cắn chéo

Trước điều trị răng lệch tương quan hai hàm gây mòn răng và lệch mặt; sau điều trị răng được sắp xếp đúng vị trí, khớp cắn cân đối và ổn định.
case_noi_bat

Khớp cắn chìa

Trước điều trị răng cửa trên chìa ra trước gây hô và dễ chấn thương; sau điều trị răng được kéo về đúng vị trí, khớp cắn chuẩn và nụ cười cân đối hơn

Bảng giá chỉnh nha mắc cài

Khám tư vấn chuyên sâu

1.500.000 VNĐ

Chụp Xquang răng (cận chóp, Panorama, Cephalometric, Conbeam CT)

50.000 - 400.000 VNĐ

Duy trì kết quả điều trị nắn chỉnh răng bằng khí cụ tháo lắp (bộ 3 cặp khay duy trì Vivera)

10.000.000 VNĐ

Nắn chỉnh răng lạc chỗ sử dụng khí cụ cố định (niềng răng hai hàm mắc cài kim loại)

35.000.000 - 50.000.000 VNĐ

Nắn chỉnh răng lạc chỗ sử dụng khí cụ cố định (niềng răng hai hàm mắc cài sứ)

45.000.000 - 60.000.000 VNĐ

Duy trì kết quả điều trị nắn chỉnh răng bằng khí cụ tháo lắp (bộ 3 cặp khay duy trì Vivera)

10.000.000 VNĐ

Điều trị chỉnh hình răng mặt sử dụng khí cụ FACEMASK và ốc nong nhanh

20.000.000 VNĐ

Nắn chỉnh mất cân xứng hàm chiều trước sau bằng khí cụ tháo lắp (Twinblock)

10.000.000 VNĐ

Điều chỉnh độ nghiêng răng bằng khí cụ cố định (máng trượt)

5.000.000 VNĐ

Nong rộng hàm bằng khí cụ cố định Quad-helix

5.000.000 VNĐ

Nắn chỉnh răng sử dụng neo chặn bằng microimplant (minivis)

2.000.000 VNĐ

Sử dụng khí cụ cố định điều trị thói quen xấu đẩy lưỡi, mút môi, mút ngón tay

3.000.000 VNĐ

Duy trì kết quả điều trị nắn chỉnh răng bằng khí cụ tháo lắp

600.000 - 2.000.000 VNĐ

Phản hồi từ khách hàng

“Khi thấy con gặp khó khăn vì răng chen chúc, tôi quyết định đưa Quang Anh đến iMed để thăm khám sớm. Trong suốt hơn 2 năm chỉnh nha, bác sĩ luôn theo dõi kỹ lưỡng và đồng hành cùng gia đình, giúp con yên tâm và kiên trì điều trị. Đến hôm nay, răng con đều đẹp, nụ cười tự tin hơn và sức khỏe răng miệng cải thiện rõ rệt. Tôi rất hài lòng khi lựa chọn iMed cho hành trình chỉnh nha của con.”

Mẹ bé Quang Anh

15 tuổi, Hà Nội

Mẹ bé Quang Anh
“Trước đây em từng phân vân không biết nên giữ răng khểnh hay chỉnh nha để có nụ cười khỏe mạnh hơn. Sau khi được bác sĩ tư vấn kỹ lưỡng, em quyết định niềng răng và thật sự rất hài lòng với lựa chọn của mình. Sau hơn 2 năm kiên trì, răng em đều đẹp, khớp cắn chuẩn và em tự tin cười hơn rất nhiều. Kết quả cuối cùng thực sự vượt mong đợi của em.”

Mỹ Duyên

21 tuổi, Hà Nội

Mỹ Duyên
“Ngay khi nhận thấy con có dấu hiệu răng chen chúc và hở khớp cắn, tôi đã đưa con đến iMed thăm khám sớm. Trong suốt 2 năm niềng răng, bác sĩ theo dõi sát sao, giải thích rõ ràng và luôn tạo cho con cảm giác thoải mái. Đến hôm nay, răng con đều hơn, khớp cắn chuẩn và gương mặt cũng cân đối hơn rất nhiều. Nhìn con tự tin cười, tôi thực sự yên tâm và hài lòng khi đã lựa chọn iMed đồng hành cùng gia đình.”

Mẹ bé Việt Dũng

15 tuổi, Hà Nội

Mẹ bé Việt Dũng
“Ngày đầu đến iMed, em và mẹ rất lo lắng vì các răng hàm của em bị sâu nặng. Khi được bác sĩ giải thích rằng em không cần phẫu thuật mà vẫn có thể giữ lại hàm răng tự nhiên, em thật sự rất vui và yên tâm. Trong suốt quá trình điều trị, các bác sĩ luôn theo dõi kỹ và giải thích dễ hiểu. Bây giờ em vẫn ăn nhai tốt và tự tin hơn rất nhiều với nụ cười của mình.”

Hà My

20 tuổi, Hà Nội

Hà My

Câu Hỏi Thường Gặp

Hiệu quả chỉnh nha của mắc cài sứ có bằng mắc cài kim loại không?

Với đa số trường hợp, hiệu quả chỉnh nha là tương đương nếu được chỉ định và kiểm soát lực đúng cách. Tuy nhiên, với các ca sai lệch nặng, răng khó di chuyển hoặc cần lực kéo mạnh, bác sĩ thường ưu tiên mắc cài kim loại để đảm bảo độ chính xác và ổn định.

Niềng răng mắc cài có gây đau nhiều không?

Cảm giác ê hoặc căng tức thường xuất hiện trong vài ngày đầu sau khi gắn mắc cài hoặc mỗi lần siết dây. Đây là phản ứng sinh lý bình thường của răng khi dịch chuyển và sẽ giảm dần. Mức độ đau không khác biệt đáng kể giữa mắc cài kim loại và mắc cài sứ.

Thời gian điều trị của hai loại mắc cài có khác nhau không?

hời gian chỉnh nha phụ thuộc chủ yếu vào tình trạng răng – xương hàm và sự tuân thủ của bệnh nhân, không phụ thuộc hoàn toàn vào vật liệu mắc cài. Trung bình:

  • Thời gian điều trị: 18–24 tháng

  • Một số ca đơn giản có thể ngắn hơn, ca phức tạp có thể kéo dài hơn.

Nên chọn mắc cài kim loại hay mắc cài sứ?

Việc lựa chọn cần dựa trên chẩn đoán lâm sàng và nhu cầu cá nhân, mắc cài thẩm mỹ sẽ thẩm mỹ hơn mắc cài sứ. Bác sĩ sẽ là người đánh giá và tư vấn phương án phù hợp nhất cho từng trường hợp cụ thể.

Dịch vụ khác

Cấy ghép
Implant

Giải pháp phục hình thẩm mỹ và chức năng ăn nhai tối ưu cho bệnh nhân bị mất răng

Chỉnh nha

trong suốt invisalign

Giải pháp chỉnh nha thẩm mỹ bằng khay trong suốt, linh hoạt, dễ dàng tháo lắp và vệ sinh răng miệng.

Nha khoa
thẩm mỹ

Khôi phục nụ cười hoàn hảo với các dịch vụ dán sứ veneer, tẩy trắng, phục hình răng sứ

Nha khoa
trẻ em

Chăm sóc và điều trị rắng sữa, hướng dẫn vệ sinh răng miệng hình thành thói quen chăm sóc răng từ sớm

Phẫu thuật
chỉnh hình xương hàm

Khắc phục các tình trạng về răng hàm mặt do xương hàm, mang lại khuôn mặt cân đối và khớp cắn chuẩn

Nha khoa
tổng quát

Thăm khám và điều trị tổng quát tạo nền tảng duy trì sức khoẻ răng miệng toàn diện

Nhổ
răng khôn

Loại bỏ răng khôn bằng kỹ thuật an toàn hiện đại, giảm sưng đau, phục hồi nhanh chóng

Răng giả
tháo lắp

Giải pháp phục hình cho người mất răng toàn hàm, cải thiện một phần khả năng ăn nhai và thẩm mỹ

Dental Care For
International Patients

Điều trị răng miệng theo tiêu chuẩn quốc tế, dành cho người nước ngoài đang sinh sống, làm việc tại Việt Nam.

Liên hệ với chúng tôi0972 435 008